Batman'da nadir 7 parmaklı ayak vakası başarıyla tedavi edildi
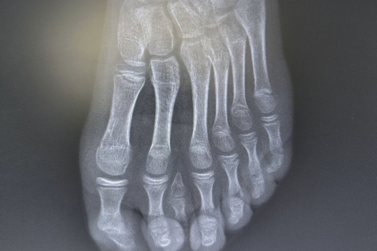
Yetkililer, el ve ayaklarda fazla (polidaktili) ya da eksik parmak vakalarına zaman zaman rastlandığını ancak 7 parmaklı ayak olgularının oldukça nadir görüldüğünü belirtti.
Genel yaklaşımda bu tür vakalarda cerrahi planlamanın ayağın beş parmaklı anatomik yapısına uygun şekilde yapıldığı ifade edildi. Ancak hastanın yapılan detaylı klinik ve radyolojik değerlendirmelerinde altı parmağın; falanks (parmak kemikleri), metatars (tarak kemikleri) ve diğer ayak kemikleri ile uyumlu ve düzgün şekilde geliştiği tespit edildi.
Uzmanlar, mevcut altı parmağa müdahale edilmesinin ayak biyomekaniğini ve dengesini olumsuz etkileyebileceğini değerlendirdi.
Bu doğrultuda cerrahi planlama yeniden yapılarak, fonksiyonel açıdan yetersiz ve estetik olarak problem oluşturan tek parmağın çıkarılmasına karar verildi. Operasyon sırasında diğer parmaklara ait damar ve sinir yapıları titizlikle korunurken, mikrocerrahi teknikler kullanılarak işlem sorunsuz şekilde tamamlandı.
Operasyon, Batman Eğitim ve Araştırma Hastanesinde görevli Ortopedi ve Travmatoloji Uzmanı Uzm. Dr. Mehmet Yavuz Başer tarafından başarıyla gerçekleştirildi. Hastanın genel durumunun iyi olduğu ve operasyonun başarılı şekilde sonuçlandığı bildirildi.
“Nadir ve kompleks vakalar da başarıyla tedavi ediliyor”
Hastane yönetimi tarafından yapılan açıklamada, gerçekleştirilen bu özellikli cerrahi müdahalenin ileri cerrahi teknikler, mikrocerrahi hassasiyet ve bireye özgü planlamanın bir arada uygulanmasıyla mümkün olduğu vurgulandı.
Batman Eğitim ve Araştırma Hastanesinin, deneyimli uzman kadrosu ve güçlü teknik altyapısıyla nadir ve kompleks ortopedik vakalarda da etkin, güvenli ve yüksek başarı oranlı sağlık hizmeti sunmaya devam ettiği kaydedildi.


Kaynak:İLKHA
Türkçe karakter kullanılmayan ve büyük harflerle yazılmış yorumlar onaylanmamaktadır.